成都军大医院皮肤病专科
网站首页 医院概况 医院动态 医院环境 在线咨询 预约挂号 了解费用 来院路线
成都治疗皮肤病医院
热点问题成都皮肤科医院排名 成都皮肤医院哪个好 成都皮肤病医院排名 成都治疗脱发好的医院 成都军大皮肤科正规吗 成都军大医院地址在哪

当前位置:成都皮肤病医院 > 高发皮肤病 > 荨麻疹 >

荨麻疹发病初期有哪些表现

来源:成都军大医院皮肤病专科 日期:10-22 14:52 在线咨询

   荨麻疹发病初期有哪些表现-这个问题详细很多人还不是很了解,因此给患者带来了很多危害,成都军大医院医生介绍:出现荨麻疹症状应该及时到医院进行检查治疗,采取正规的治疗,早日摆脱荨麻疹危害,那么荨麻疹初期有哪些表现呢?下面看看成都军大医院医生的对此的介绍。

 

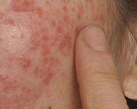
  荨麻疹初期表现

 

  荨麻疹会迅速的出现风团,在风团出现的时候会出现瘙痒感,有的患者在出现风团的时候也会伴有肠胃功能的不适,也有发热的症状出现。

 

  荨麻疹出现大量的风团,周围会有红晕,风团出现的位置不定,大小不定。荨麻疹的症状通常是会在几个小时内消失的,但是在受到刺激之后,也会在其它的部位出现症状。

 

  荨麻疹发病初期有哪些表现-成都军大医院医生提醒广大患者朋友,荨麻疹是一种常见的皮肤疾病,在治疗荨麻疹的时候应该选择适合自己的治疗,同时患者要明确,疾病的治疗不是一朝一夕,患者应该保持足够的耐心,积极治疗疾病。

成都军大医院概况

成都军大医院皮肤科
成都军大医院是省市医保定点单位,成都皮肤病医院,专业治疗青春痘、脱发、荨麻疹、湿疹···【详细】

成都军大医院地址

成都军大医院地址

医院地址:成都市青羊区玉沙路142号(太升
南路与玉沙路交叉口)
医院电话:170-8817-7113

医院概况 医院动态 医院环境 在线咨询 预约挂号 网站地图 医院地址
成都皮肤病医院哪家好
成都军大医院皮肤科

备案号:蜀ICP备16020336号-46
(成青)医广[2019]第01-14-510105004号成都皮肤医院
成都军大医院皮肤科 医院电话:170-8817-7113
医院地址:成都市青羊区玉沙路142号(太升南路与玉沙路交汇处)
网站内容仅供参考,详细请咨询成都军大医院皮肤科了解