成都军大医院皮肤病专科
网站首页 医院概况 医院动态 医院环境 在线咨询 预约挂号 了解费用 来院路线
成都治疗皮肤病医院
热点问题成都皮肤科医院排名 成都皮肤医院哪个好 成都皮肤病医院排名 成都治疗脱发好的医院 成都军大皮肤科正规吗 成都军大医院地址在哪

当前位置:成都皮肤病医院 > 高发皮肤病 > 荨麻疹 >

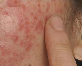
什么是丘疹性荨麻疹

来源:成都军大医院皮肤病专科 日期:10-09 14:25 在线咨询

   炎炎夏日,蚊虫活跃,好像无论大家怎样努力预防,还是无法避免蚊虫送来的“红包”。奇怪的是,明明没看到蚊子,你却忽然变得满头包,这时你会不会奇怪哪来这么多看不见的蚊子在咬你呢?好像你的皮肤具有某种特异功能——只要被蚊虫“亲”一口,就可以一下子冒出十几个发痒的红疹来。

 

  还是让成都军大医院的医生来告诉你真相吧:其实蚊子并不多,咬到的伤口也不多,但因为个人的敏感体质反应,会在被咬过后自然发出数十个类似虫咬的膨疹,这就是“丘疹性荨麻疹”。那么,被蚊虫“骚扰”后的你,会不会也患上丘疹性荨麻疹?

 

  成都军大医院的医生为我们指出:丘疹性荨麻疹是医学名,很多人误以为丘疹性荨麻疹就是麻疹。但实际上二者有着本质的区别:丘疹性荨麻疹是因过敏而致,麻疹则由麻疹病毒引起。

 

  丘疹性荨麻疹一年四季都可发生,主要发生在儿童身上,这是因为儿童皮肤娇嫩,机体免疫能力低下,很容易引发皮肤过敏。也有部分成年人因抵抗力弱而患上丘疹性荨麻疹。

 

  得了丘疹性荨麻疹的人多半会发现一些呈花生米大小、高出皮肤的红疙瘩出现在自己的腰部以下,少则三五个,多则数十个,甚至成群成堆,不但常反复发作,且奇痒难忍。患有丘疹性荨麻疹的人会因为无法止痒而抓破自己的皮肤,这样也许能解一时之痒,却在抓破以后疼痛难,而且仍会在某时段再次浮肿、搔痒起来。这样反反复复多次,就会在皮肤表层留下久久不消的黑褐色的瘢痕。很可能这些黑色瘢痕会持续数年,真令人难过!

成都军大医院概况

成都军大医院皮肤科
成都军大医院是省市医保定点单位,成都皮肤病医院,专业治疗青春痘、脱发、荨麻疹、湿疹···【详细】

成都军大医院地址

成都军大医院地址

医院地址:成都市青羊区玉沙路142号(太升
南路与玉沙路交叉口)
医院电话:170-8817-7113

医院概况 医院动态 医院环境 在线咨询 预约挂号 网站地图 医院地址
成都皮肤病医院哪家好
成都军大医院皮肤科

备案号:蜀ICP备16020336号-46
(成青)医广[2019]第01-14-510105004号成都皮肤医院
成都军大医院皮肤科 医院电话:170-8817-7113
医院地址:成都市青羊区玉沙路142号(太升南路与玉沙路交汇处)
网站内容仅供参考,详细请咨询成都军大医院皮肤科了解