成都军大医院皮肤病专科
网站首页 医院概况 医院动态 医院环境 在线咨询 预约挂号 了解费用 来院路线
成都治疗皮肤病医院
热点问题成都皮肤科医院排名 成都皮肤医院哪个好 成都皮肤病医院排名 成都治疗脱发好的医院 成都军大皮肤科正规吗 成都军大医院地址在哪

当前位置:成都皮肤病医院 > 高发皮肤病 > 荨麻疹 >

荨麻疹有哪些症状

来源:成都军大医院皮肤病专科 日期:09-30 18:13 在线咨询

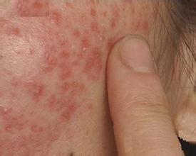
   荨麻疹有哪些症状?成都军大医院的医生说荨麻疹是一种非常容易复发的皮肤病,因为荨麻疹是过敏性疾病,所以在治疗荨麻疹的时候一定要注意,剔除过敏体质是关键的,荨麻疹刚开始发病的时候是容易治疗的,但是很多的患者往往都会忽略荨麻疹的存在,所以这就要从荨麻疹的症状开始了解起,那么荨麻疹有哪些症状呢?听听成都军大医院的医生是怎么说的吧。

 

  荨麻疹有哪些症状?荨麻疹发病的时候一般都是在皮肤上出现大片的风团,还有瘙痒。荨麻疹的风疹块一般是呈扁平状的。颜色一般都是呈现的是淡黄色或者是苍白色的水肿型的斑块,在这些斑块的周围还有红晕,有时候这种荨麻疹也被称为环状荨麻疹。

 

  还有一种是图形荨麻疹,这种荨麻疹就是几个相邻的环形相接或者是融合成一个地图状的,就被叫做图形荨麻疹。一般在儿童身上多发生和正常的皮肤并没有两样的荨麻疹,这种的荨麻疹一般还会有红晕。

 

  荨麻疹患者发生荨麻疹后有的会在之内发生数次的荨麻疹,一般在1-2周之后就会停止,这就是我们常说的急性的荨麻疹,如果连续发生六个月以上,这就是慢性的荨麻疹了,如果时间再长,就会变成顽固性的荨麻疹了。

 

  成都军大医院的医生提示您,因为荨麻疹刚开始发病的时候是一个比较容易治疗的阶段,一定不要错过这个阶段,而且荨麻疹在发病的时候是来的快,消退的也快,很多人就会忽略荨麻疹的存在,这样是不对的,一定要重视荨麻疹的存在,及时的进行治疗。

 

成都军大医院概况

成都军大医院皮肤科
成都军大医院是省市医保定点单位,成都皮肤病医院,专业治疗青春痘、脱发、荨麻疹、湿疹···【详细】

成都军大医院地址

成都军大医院地址

医院地址:成都市青羊区玉沙路142号(太升
南路与玉沙路交叉口)
医院电话:170-8817-7113

医院概况 医院动态 医院环境 在线咨询 预约挂号 网站地图 医院地址
成都皮肤病医院哪家好
成都军大医院皮肤科

备案号:蜀ICP备16020336号-46
(成青)医广[2019]第01-14-510105004号成都皮肤医院
成都军大医院皮肤科 医院电话:170-8817-7113
医院地址:成都市青羊区玉沙路142号(太升南路与玉沙路交汇处)
网站内容仅供参考,详细请咨询成都军大医院皮肤科了解