成都军大医院皮肤病专科
网站首页 医院概况 医院动态 医院环境 在线咨询 预约挂号 了解费用 来院路线
成都治疗皮肤病医院
热点问题成都皮肤科医院排名 成都皮肤医院哪个好 成都皮肤病医院排名 成都治疗脱发好的医院 成都军大皮肤科正规吗 成都军大医院地址在哪

当前位置:成都皮肤病医院 > 高发皮肤病 > 荨麻疹 >

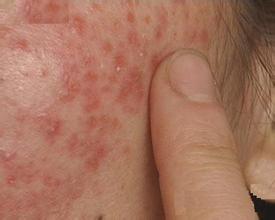
成都令人难堪的荨麻疹会传染吗

来源:成都军大医院皮肤病专科 日期:03-08 11:29 在线咨询

     令人难堪的荨麻疹会传染吗?很多荨麻疹患者担心荨麻疹会传染,把自己封闭起来,不与他人接触。长期下去,患者形成心理疾病,不利于自身病情恢复。医生指出:荨麻疹虽然容易复发,治疗难度大,但荨麻疹不具备传染性。

 

  令人难堪的荨麻疹会传染吗

 

  成都军大医院的医生指出:荨麻疹不具备传染性,患者不必担心。根据荨麻疹症状就可以看出令人难堪的荨麻疹会传染吗?

 

  1、 发病迅速,消退较快。发病时全身出现大量水肿性斑块。

 

  2、 急性荨麻疹病情一般不会超过一个月,慢性荨麻疹病情持续时间一般在一个月以上,甚至数年时间。

 

  3、 荨麻疹发作突然,出现风团,潮红斑,数小时后迅速消退,不留痕迹,但可反复发作。

 

  4、荨麻疹发作伴有瘙痒,严重时会出现腹痛、恶心、胸闷、心悸、呼吸困难、关节肿胀甚至休克。

 

  从以上荨麻疹症状可以看出,荨麻疹不具备有传染性疾病的一般特征。虽然荨麻疹不会传染,但荨麻疹的严重危害患者们还是要重视起来。临床研究发现,荨麻疹发病与寄生虫感染、扁桃体炎、中耳炎、鼻窦炎、甚至乙型肝炎、手足癣、糖尿病、月经紊乱、甲亢、肿瘤等都有直接关系。

成都军大医院概况

成都军大医院皮肤科
成都军大医院是省市医保定点单位,成都皮肤病医院,专业治疗青春痘、脱发、荨麻疹、湿疹···【详细】

成都军大医院地址

成都军大医院地址

医院地址:成都市青羊区玉沙路142号(太升
南路与玉沙路交叉口)
医院电话:170-8817-7113

医院概况 医院动态 医院环境 在线咨询 预约挂号 网站地图 医院地址
成都皮肤病医院哪家好
成都军大医院皮肤科

备案号:蜀ICP备16020336号-46
(成青)医广[2019]第01-14-510105004号成都皮肤医院
成都军大医院皮肤科 医院电话:170-8817-7113
医院地址:成都市青羊区玉沙路142号(太升南路与玉沙路交汇处)
网站内容仅供参考,详细请咨询成都军大医院皮肤科了解